Christian Dyzmann: A Case of An 84 Year Old Lady With Unknown Onset of Stroke
Christian Dyzmann, Head of Neuroradiology at Sana Clinic Lübeck, shared on LinkedIn:
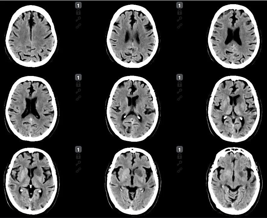
”84 year old lady with unknown onset of stroke, probably wake up.
Primary admission (door 17:55) with mild media syndrome: mild aphasia and severe paresis of the right leg – NIHSS 7.
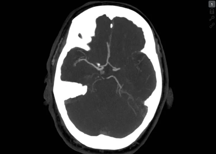
Stroke CT workup showed 16 ml well delignated infarct of the head of caudatenucleus and putamen (ASPECTS 8), a proximal left M1 occlusion and 40 ml of perfusion lesion in the MCA territory (18:25, Brainomix). No thrombolysis.
Thrombectomy was done with Embovac and Tigertriever (Rapid Medical) in general anaesthesia (door-to-groin 109 min, 19:44) with first pass recanalization TICI 2c in 16 min (20:00, door-to-final-TICI 123 min).
Slow neurological improvement with NIHSS 3 at discharge on day 7 without aphasia and hemiparesis (mRs 3 due to right severe coxarthrosis).”

Stay updated with Hemostasis Today.
-
May 29, 2026, 03:19Building Safer Systems for Anticoagulation Management – ISTH
-
May 29, 2026, 03:07Early Diagnosis Can Change the Lives of Women With Haemophilia – EHC
-
May 29, 2026, 02:41Ifeanyichukwu Ifechidere: The Biggest DOAC Myth in Coagulation – ‘No Monitoring Required’
-
May 29, 2026, 02:35Mariam Swidan: Why Is LDH the ‘Tattletale’ of the Lab?
-
May 29, 2026, 02:20Yuntian Wang: Multi-View Learning for Predicting Avatrombopag Response in Pediatric Immune Thrombocytopenia
-
May 29, 2026, 01:57Giuseppina Caligiuri: Pathophysiological Challenges and Emerging Therapeutic Strategies in Acute Stroke
-
May 28, 2026, 23:47Hussnain Javaid: The Importance of Targeted Examination in Iron Deficiency Anaemia
-
May 28, 2026, 23:47ASH Heads to ASCO26 with Career Opportunities and Global Hematology Leadership
-
May 28, 2026, 23:46Armenia Takes Center Stage in Global Hemophilia Initiative – Yeolyan Hematology and Oncology Center