Nihar Desai/X
Nov 2, 2025, 14:14
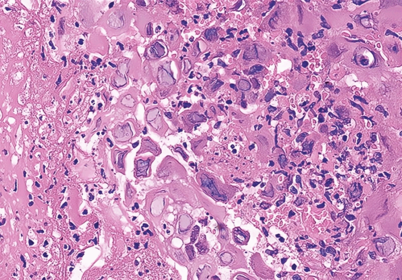
Nihar Desai: Post-Transplant Dysphagia
Nihar Desai, Hematologist, Bone Marrow Transplant Physician at Princess Margaret Cancer Center, shared a post on X:
”56, female, presents with difficulty swallowing 140 days after allogeneic transplant for AML
GI scopes her, sees.
Path sees.
What’s going on?
Management?”

Stay informed with Hemostasis Today.
-
Nov 2, 2025, 14:172019 ESC/EAS Guidelines for the Management of Dyslipidaemias Discussion with Lale Tokgözoğlu and Jeanine Roeters van Lennep
-
Nov 2, 2025, 14:14Nihar Desai: Post-Transplant Dysphagia
-
Nov 2, 2025, 14:13Zia Choudhry Launchs a New Digital Education Platform Designed to Inform and Empower People Living With wAIHA
-
Nov 2, 2025, 14:13Rahul Bhargava: Landmark Study Shows Excellent Outcomes in Pediatric AML Transplant
-
Nov 2, 2025, 10:17ESO: Register for the Live WSC 2025 Highlights Webinar
-
Nov 2, 2025, 14:21Claude Franceschi: I Advise You to Understand the Hemodynamic Pathophysiology of Venous Diseases Rather than Blindly Applying Ablation Techniques or Venous Stent Placement
-
Nov 2, 2025, 14:15Krishna Aragam: Why are (DCM) and Heart Failure About Twice as Common in Individuals of Self-Identified Black Race?
-
Nov 2, 2025, 14:15Raul Santos: Waist-to-Height Ratio and Coronary Artery Calcium Incidence
-
Nov 2, 2025, 14:12Steven AR Murphy: Urolithin A Shows Immune Rejuvenation and Mitochondrial Benefits in New Trial
-
Nov 2, 2025, 10:31Cihan Ay and RIETE Investigators Team Present External Validation of the VTE-PREDICT Score
-
Oct 29, 2025, 07:31The Use of Artificial Intelligence to Improve Detection of Acute Incidental Pulmonary Emboli - JTH
-
Oct 29, 2025, 07:05Shrinidhi Nathany: AI in Diagnostic Medicine
-
Oct 28, 2025, 07:02Aya Berman: AI Model for Predicting Bacteremia
-
Oct 28, 2025, 06:55The New Era of Genomics, AI and Cell Therapy in Hematology and Infectious Diseases
-
Oct 28, 2025, 06:49Lukas Gaats: Researchers Are Building Reproductive Organoids
-
Nov 2, 2025, 14:17Anamaria B: Your Mother Still Runs Part of Your DNA
-
Nov 2, 2025, 10:57Paul Bolaji on Launching The First Centralised Nigerian National Stroke Registry
-
Nov 2, 2025, 10:03Mark Stoffels: A Stroke Can Change Lives in an Instant, But With Timely Expert Care Recovery is Possible
-
Nov 2, 2025, 09:43Louise Bannon Celebrates Barbara Adams Krolak’s 10-Year Anniversary at ISTH
-
Nov 2, 2025, 08:06Sanam Loghavi Recognized at Inaugural Women in Hematology U.S. Focus Meeting 2025
Nov 2, 2025, 14:17
Nov 2, 2025, 14:15
Nov 2, 2025, 14:14
Nov 2, 2025, 14:12
