Soumen Bhattacharyya: Microangiopathic Hemolytic Anemia Is Often a Hematologic Clue to Underlying Malignancy
Soumen Bhattacharyya, College Teacher in the Department of Physiology at RBC College for Women, shared on LinkedIn:
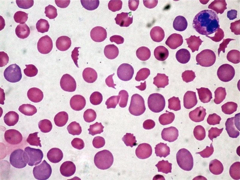
”Microangiopathic Hemolytic Anemia (MAHA) is more than a lab diagnosis—it’s often a clinical signal of an underlying systemic process, and sometimes, a hidden malignancy.
One particularly important association is with metastatic carcinoma, especially mucin-secreting adenocarcinomas (classically stomach and breast, but also pancreas, lung, and prostate).
What’s the mechanism?
Tumor-derived mucin activates the coagulation cascade – formation of microvascular thrombi – red blood cells get mechanically sheared as they pass through these vessels.
This results in:
- Fragmented RBCs (schistocytes)
- Intravascular hemolysis
- Thrombocytopenia
On peripheral smear, schistocytes appear as irregular, jagged RBC fragments—formed when red cells are literally ‘ripped apart’ in the circulation.
Clinical and lab features:
- Moderate to severe anemia (often abrupt onset)
- Thrombocytopenia
- High LDH, high indirect bilirubin
- Haptoglobin
- Possible hemoglobinuria
Why this matters
MAHA may precede the diagnosis of malignancy or indicate advanced disease.
Recognizing this pattern early can change outcomes.
Key takeaway
Mucin – coagulation activation – microthrombi – RBC fragmentation – MAHA
Always respect the peripheral smear—it often provides the earliest clue to a much bigger diagnosis.”

Stay updated with Hemostasis Today.
-
Mar 17, 2026, 17:37Peter Bou Dib: New Insights on Factor VIII and the Musculoskeletal System
-
Mar 17, 2026, 17:31Armghan Ans: The 2026 Stroke Guidelines Are Excellent, Now the Hard Part
-
Mar 17, 2026, 17:26Danny Hsu: Navigating a Rebalanced Hemostatic State in Decompensated Cirrhosis
-
Mar 17, 2026, 17:21Matías J Alet on Acute Ischemic Stroke With Low NIHSS at NeuroQuality
-
Mar 17, 2026, 17:16S1PR4 Controls Platelet Fibrinogen Binding and Thrombus Formation – JTH
-
Mar 17, 2026, 15:55Mostafa Faisal Mohammed Saleh: Evidence-Based Recommendations for Hodgkin Lymphoma Management in LMICs
-
Mar 17, 2026, 15:50Yogesh Kalkonde: Advancing Sickle Cell Care Through Primary Health Training
-
Mar 17, 2026, 15:49Melissa Hollo: Closing the Gap in Maternal Anemia Care Through HerCare
-
Mar 17, 2026, 15:46Simon Senanu: Rouleaux Formation – When Red Cells Stack Like Coins