Photo: Depositphotos
Oct 21, 2025, 06:44
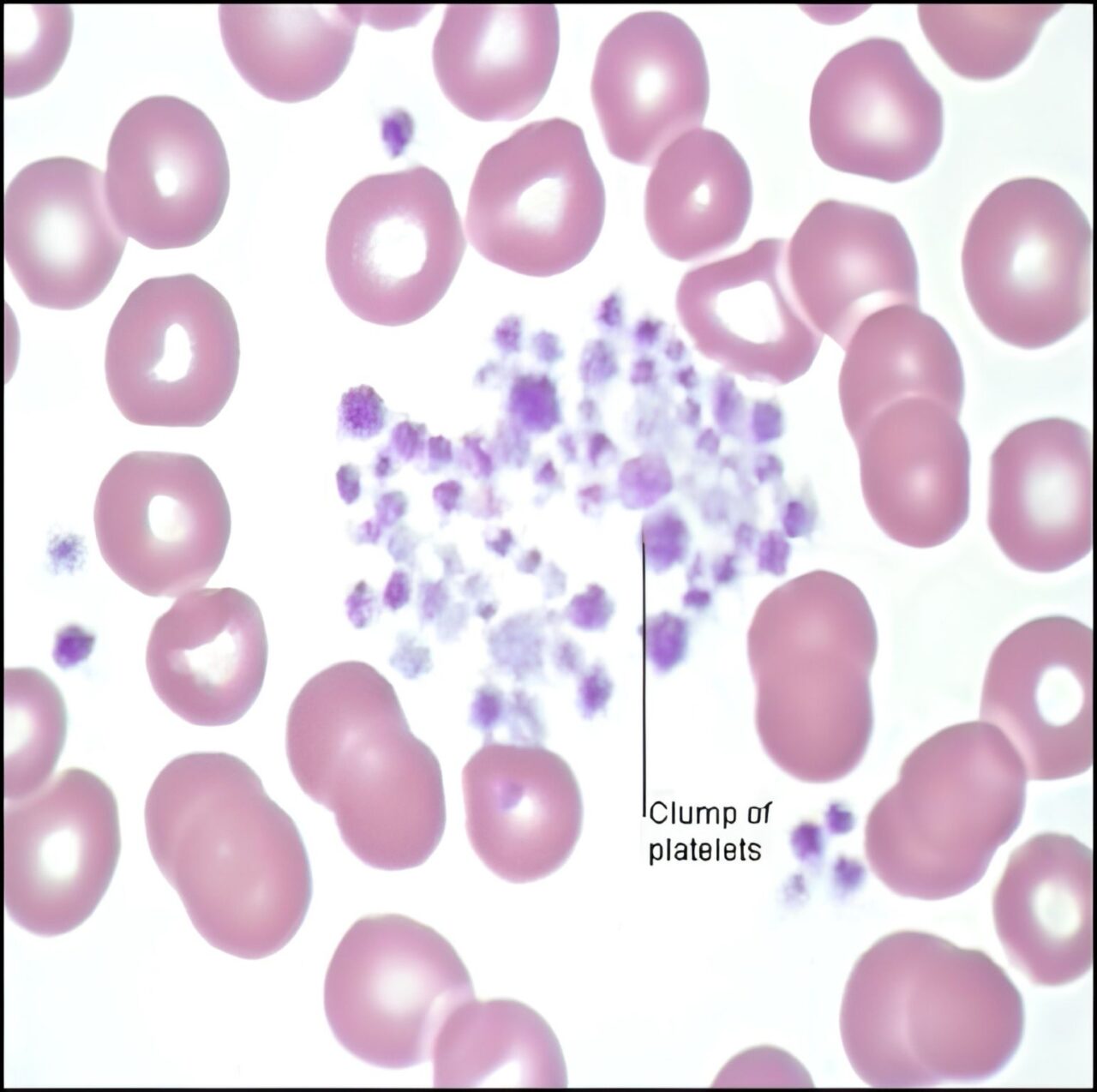
Asmaa A About Pseudo Thrombocytopenia: Causes and How to Handle
Asmaa A, DHA Medical Laboratory Technologis at Al-Ahrar International Hospital, shared a post on LinkedIn:
“Pseudo Thrombocytopenia — Causes & How to Handle
the analyzer shows low PLT even though the patient’s actual platelet count is normal.
This can mislead diagnosis unless recognized early.
The most common causes are five :
- Platelet Clumping (EDTA-dependent platelet agglutinins)
Common in EDTA samples — platelets stick together and appear fewer.
How to handle:
• Recollect in sodium citrate, multiply PLT & WBC ×1.1
• Or keep the EDTA sample at 37°C before analysis to prevent clumping - Platelet Satellitism
Platelets attach to WBCs, especially neutrophils (EDTA-related).
How to handle:Recollect in sodium citrate, multiply PLT & WBC ×1.1 - Rouleaux Formation
Seen in multiple myeloma, RBCs stack like coins → analyzer misreads counts.
How to handle: Wash with saline and rerun. - Giant Platelets
Large PLTs are counted as RBCs → falsely low PLT.
How to handle: Check peripheral blood smear (PBF) manually. - Clotted Sample
Due to poor mixing or delayed processing.
How to handle: Reject and recollect properly.
Always check the peripheral smear before reporting a low PLT count ,it could save you from a false report!”

Stay updated with Hemostasis Today.
-
Oct 21, 2025, 06:59Samwel Mikaye: Polycythemia and the Risk of Blood Clots
-
Oct 21, 2025, 06:58Samuel Nweke: Interpreting D-Dimer Results
-
Oct 21, 2025, 05:20Ewa Fiorentino Rozek: APS - When “Unprovoked” Clots And Pregnancy Loss Connect
-
Oct 21, 2025, 03:503 Questions With Abigail Ajanel Gomez – Touch Haematology Future Leader 2025
-
Oct 21, 2025, 01:57Mohamed Reda: Clotting Factors — The Key Players in Blood Coagulation
-
Oct 22, 2025, 09:16Richard Benjamin Shares Results of The ReCePI Phase III Clinical Study
-
Oct 21, 2025, 11:13Hanny Al Samkari's Commentary on Iron Deficiency Anemia in Inherited Bleeding Disorders
-
Oct 21, 2025, 11:08Wolfgang Miesbach on New Real-World Data for Haemophilia B Prophylaxis
-
Oct 21, 2025, 06:53Haitham Shedeed: The Importance of Heparin Testing Before Catheterization
-
Oct 21, 2025, 06:44Asmaa A About Pseudo Thrombocytopenia: Causes and How to Handle
-
Oct 22, 2025, 08:25Johanna Nystedt: Not Every Day We Can Release a New Blood Product to Meet An Unmet Medical Need!
-
Oct 21, 2025, 06:58Arno Nierich: How Caffeine Affects Red Blood Cells and Blood Storage
-
Oct 21, 2025, 06:43Could Gene Therapy Offer Lasting Quality of Life for People with Hemophilia B?
-
Oct 21, 2025, 06:18Katerina Akassoglou Receives Zenith Fellows Award to Advance Alzheimer’s Research
-
Oct 16, 2025, 06:07ClearPlasma - A New Breakthrough in Stopping Life-Threatening Bleeds
-
Oct 22, 2025, 08:41Maryum Salim Reflects on Her Experience at the HTRS SEARCH Workshop
-
Oct 22, 2025, 08:36Emilya Huseynova to Speak at AABB 2025
-
Oct 22, 2025, 08:34Shanga Saieed: It Was An Absolute Pleasure to Be Part of The Hemostasis Advanced Training
-
Oct 21, 2025, 11:11Nana Kwame Kwabi Boateng: Grateful For The Opportunity to Serve As A SEARCH Ambassador
-
Oct 21, 2025, 05:00Sheila Cristina Ouriques Martins Is Grateful to Be Among The Legends Who Changed The Reality of Stroke Worldwide
Oct 22, 2025, 09:16
Oct 22, 2025, 08:41
Oct 22, 2025, 08:36
Oct 21, 2025, 11:08
Oct 21, 2025, 06:59
Oct 21, 2025, 06:58
Oct 21, 2025, 06:58
Oct 21, 2025, 06:53
