Nihar Desai/X
Apr 5, 2026, 14:22
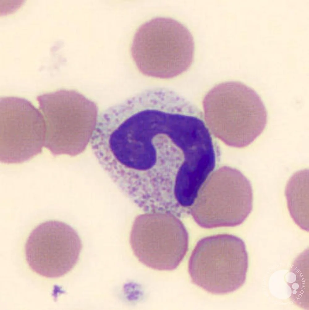
Nihar Desai: Corticosteroids Induced Neutrophilia Without a Left Shift
Nihar Desai, Hematologist, Bone Marrow Transplant Physician at Princess Margaret Cancer Center, shared a post on X:
“Corticosteroids can cause neutrophilia by releasing neutrophils from the bone marrow, but unlike infections, you won’t see a left shift
(so, no band cells etc!)”

Stay updated with Hemostasis Today.
-
May 29, 2026, 12:53Wolfgang Miesbach: The Risk of Deskilling in Modern AI Assisted Medicine
-
May 29, 2026, 12:20Pall T. Onundarson: Is Anonymous Peer Review Always Objective
-
May 29, 2026, 11:59Jolene Ng: New Review Explores the Pathophysiology of Pre-Eclampsia
-
May 29, 2026, 11:44Lynne Baird: Why Expanding Bleed Control Kits Across Public Transport Matters
-
May 29, 2026, 11:30Rumbidzai Mushambi: When ‘Just Hormones’ Delays Real Diagnosis
-
May 29, 2026, 09:53Yassin Taher: Recognizing Clonal Eosinophilic Disorders in Pediatric Hypereosinophilic Syndrome
-
May 29, 2026, 09:52Sergio Emanuel Kaiser: Ruvonoflast and a New Anti-Inflammatory Strategy for Residual Cardiovascular Risk
-
May 29, 2026, 09:50Maria Symiakaki: Advancing Cardiovascular Prevention at the 2026 Congress of the European Atherosclerosis Society
-
May 29, 2026, 09:37Katie Baca-Motes: What Can Menstrual Cycle Physiology Tell Us About Health Beyond Reproduction?