Julian Kyoung-Ryul Chun: Join the Discussion at EHRA 2026
Julian Kyoung-Ryul Chun, Cardiologist at CCB Frankfurt and Main-Taunus, Department of Internal Medicine III at Markus Hospital, shared a post on LinkedIn about a recent article he and his colleagues co-authored, adding:
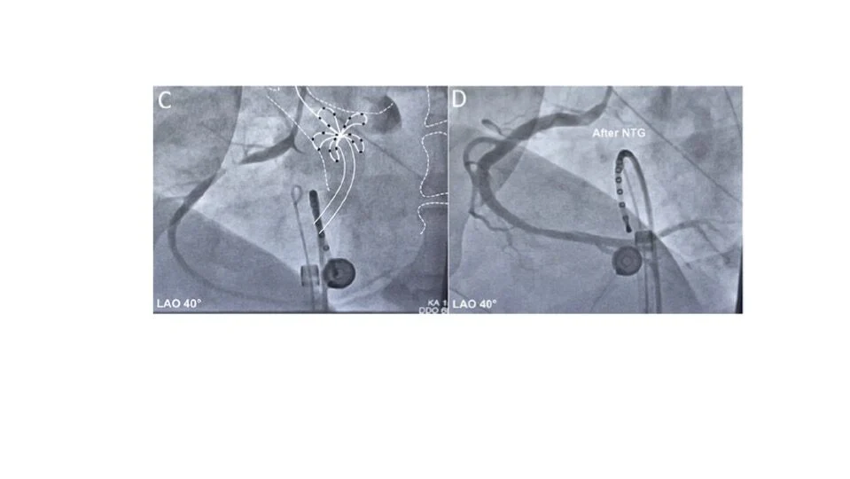
“Vasospasm and PFA – Overhyped or real problem?
I am pleased to be leading a key session at EHRA 2026!
You can register here.
Along with Prof. Guerra, I’ll be reviewing the latest insights on acute coronary spasm in Pulsed Field Ablation—from current evidence to practical mitigation strategies.
We will also discuss best practices to reduce risk during PFA workflows and highlight remaining knowledge gaps, including very rare delayed adverse events.
I encourage electrophysiologists interested in Atrial Fibrillation treatment to register and join the discussion.
See you at EHRA 2026!”
Title: Stroke and systemic embolism following atrial fibrillation ablation: the EMBOL-AF Global Registry
Authors: Sergio Castrejón-Castrejón, Christian-Hendrik Heeger, Christian Veltmann, David Schaack, Moritz Nies, Melanie Gunawardene, Daniel Steven, Verena Tscholl, Laurent Roten, Philipp Sommer, Michael Spartalis, Julien Seitz, Peter M Kistler, Minglong Chen, Qunshan Wang, Freddy Del-Carpio Munoz, Adrianus P Wijnmaalen, Javier Moreno, Ramón Albarrán-Rincón, Prashanthan Sanders, Hermann Blessberger, Mikaël Laredo, Olaf Krahnefeld, Andrej Pernat, Charles Guenancia, Aapo Aro, Eduardo Castellanos Martínez, Fernando Scazzuso, Christian Sticherling, Kars Neven, Hikmet Yorgun, Jong-Il Choi, Andrea Natale, Alexandre Almorad, Boyoung Joung, Dan Wichterle, Martin H Ruwald, Serkan Cay, Antoine Andorin, Hiroyuki Kato, Guillermo Carnero, Aleksander Maciag, Svetlana Garkina, Jean-Claude Deharo, Mouhannad M Sadek, Yu-ki Iwasaki, Thomas Beiert, Eue-Keun Choi, Dejan Kojic, João Sousa, Leonard Bergau, Nicolas Lellouche, Luis Arabia Cortés, Juan Manuel Camargo, Osamu Inaba, Nandor Szegedi, Jonathan P Piccini, Eloi Marijon, Michał Mazurek, Niels C F Sandgaard, Alexander Francke, Burghard Schumacher, Christian David Adams Sánchez, Martin K Stiles, Eusebio García-Izquierdo, Javier Ramos Jiménez, Jose M Guerra, Mervat Aboulmaaty, Henning Jansen, Andreas Metzner, Cecilia Zapata García, Gerardo Ruiz Ares, Helmut Pürerfellner, Julian Kyoung-Ryul Chun, José L Merino
Read the Full Article on European Heart Journal.

Stay updated on all scientific advances with Hemostasis Today.
-
Apr 8, 2026, 06:41Stephanie Diez de Sollano: Why Ehlers-Danlos Syndrome Deserves More Attention
-
Apr 7, 2026, 19:17Anand Padmanabhan: Persistence and Pathogenicity of Platelet Factor 4 Antibodies in VITT
-
Apr 7, 2026, 19:07Clara Meijs: Great Time Presenting Our Endometriosis Project at the AHA EPI Lifestyle Conference
-
Apr 7, 2026, 18:18Vivek Das: How Obesity, Type 2 Diabetes, and Dyslipidaemia Interact Across Multiple Cardiovascular Conditions
-
Apr 7, 2026, 17:44Augustina Isioma Ikusemoro: Quality Indicators for Red Blood Cells in Transfusion Medicine
-
Apr 7, 2026, 17:35Nikola Grubor: In Situ Pulmonary Arterial Thrombosis Mimicking CTEPH in Eisenmenger
-
Apr 7, 2026, 17:34Pooja Choradia: vWF Breakdown in Aortic Stenosis – Anaemia and Pulmonary Relevance
-
Apr 7, 2026, 17:32Wolfgang Miesbach: Exceptional Presentation on the Role of vWF in Angiogenesis and Gut Angiodysplasia in VWD
-
Apr 7, 2026, 17:30Chokri Ben Lamine: No Routine VTE Prophylaxis for Chronically Bedridden Patients at Home