Noor Ahmed Mirwani/LinkedIn
Apr 20, 2026, 14:42
Noor Ahmed Mirwani: Infectious Mononucleosis Through the Lens of Atypical Lymphocytes
Noor Ahmed Mirwani, Master Trainer in Blood Transfusion at The Indus Hospital, shared a post on LinkedIn:
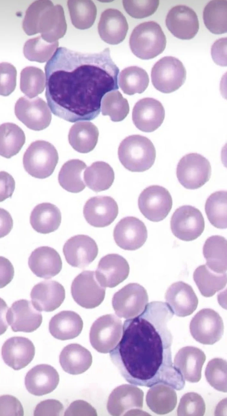
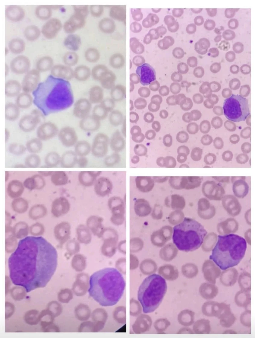
“Atypical Lymphocytes in Infectious Mononucleosis
Infectious Mononucleosis (IM) is commonly caused by Epstein-Barr Virus (EBV) infection. The immune response leads to an increased number of Atypical Lymphocytes, which have distinct morphological features.
Atypical Lymphocytes:
- Larger than normal Lymphocytes
- Irregular or indented cytoplasm
- Abundant, pale blue to grayish cytoplasm with scalloped edges that may surround red blood cells
- Round to oval nucleus with fine chromatin and sometimes visible nucleoli
Common Causes of Atypical Lymphocytes:
- Epstein-Barr Virus (EBV) – the primary cause of IM
- Cytomegalovirus (CMV)
- Viral hepatitis
- Toxoplasmosis
- Rubella and other viral infections
CBC Findings in Infectious Mononucleosis:
- Absolute lymphocytosis (usually >4,500/μL)
- Marked increase in reactive (Atypical) Lymphocytes)
- Leukocytosis (elevated WBC count)
- Possible mild thrombocytopenia and neutropenia”

Stay updated with Hemostasis Today.
-
Apr 20, 2026, 14:40Irma Rastegayeva: The Evolution of Healthcare Access – From Royal Free Hospital to the Modern NHS
-
Apr 20, 2026, 14:37Brian O Mahony: With Old Friends From The Vietnam Haemophilia Association at WFH Congress 2026
-
Apr 20, 2026, 12:14Yanki Yarman: Linking Genetic Variants to Clinical Outcomes in Thrombosis
-
Apr 20, 2026, 12:09Syed Sibtain Raza: White Blood Cells – Understanding Morphology for Better Diagnosis
-
Apr 20, 2026, 11:23Bastu Odoka: Jehovah’s Witness News on Transfusion… and a Question Worth Asking
-
Apr 20, 2026, 11:15William Aird: A Physiological Approach to Anemia
-
Apr 20, 2026, 10:59Eric Topol: Is the Interferon Pathway a Key Driver of Inflammaging and Aging
-
Apr 20, 2026, 10:47Emmanuel J Favaloro: Emerging Perspectives on Extracellular Vesicles in Hemophilia
-
Apr 20, 2026, 10:21Pierpaolo Di Micco: Honored to Join the ESVM Congress in Lausanne