Leonardo Furtado Freitas on CADASIL: Early Diagnosis Equals Better Management
Leonardo Furtado Freitas, Clinical Associate Professor of Neuroradiology at Florida International University, shared on LinkedIn:
”Just published!
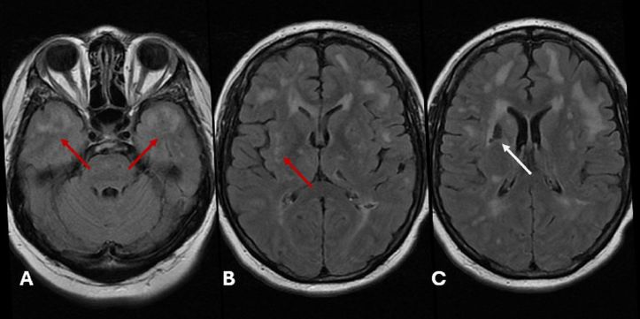
Our case report on CADASIL (Cerebral Autosomal Dominant Arteriopathy with Subcortical Infarcts and Leukoencephalopathy) highlights the critical role of MRI and genetic testing in diagnosing this underrecognized condition.
In this case, a 46-year-old woman presented with progressive gait disturbance, vertigo, and transient sensory symptoms.
MRI revealed hyperintense lesions in the temporal poles and external capsules, plus a lacunar infarct in the gangliocapsular region—classic imaging features of CADASIL!
Radiologists, always keep CADASIL in mind when facing unexplained white matter changes and early-onset strokes.
Early diagnosis equals better management.”
Read the full article here.
Article: Autosomal Dominant Cerebral Arteriopathy with Subcortical Infarcts and Leukoencephalopathy
Authors: Vitor Hugo de Souza, Márcio Luís Duarte, Marcelo de Queiroz Pereira da Silva, Leonardo Furtado Freitas

Stay updated on all scientific advances with Hemostasis Today.
-
Dec 15, 2025, 15:58Khaled Musallam Applauds Hatoon Ezzat’s Leadership and Healthcare Advances in Saudi Arabia
-
Dec 15, 2025, 12:46Deborah Ebert Long on Hemophilia Care: Progress, Possibility, and the Power of Listening
-
Dec 15, 2025, 12:34Nathan Connell on Conversion from Eptacog Alfa to Beta
-
Dec 15, 2025, 12:17Danny Hsu on Interdisciplinary Toolkit for Gynecologic Bleeding on Anticoagulation
-
Dec 15, 2025, 12:08Ted Roh: A Historic Milestone for Indonesia’s Health Innovation
-
Dec 15, 2025, 11:28Wolfgang Miesbach Shares Insights from Davide Matino’s Presentation on Marstacimab at ASH25
-
Dec 15, 2025, 11:12Tushar Pandey Awarded for His Enourmous Contribution to Hematology
-
Dec 15, 2025, 11:07DISTRO: Vidya Rajbhoj on AI and Digital Technology to Improve Stroke Rehabilitation
-
Dec 15, 2025, 11:00Ischemic Stroke, AF and Atherosclerotis: Amira Khater on Sufficiency of Anticoagulant Monotherapy
