Carlos Rodríguez/LinkedIn
Oct 5, 2025, 11:42
Carlos Rodríguez: Faced With This Challenge, I Improvised a Solution
Carlos Rodríguez, Interventional Radiologyst, shared a post on LinkedIn:
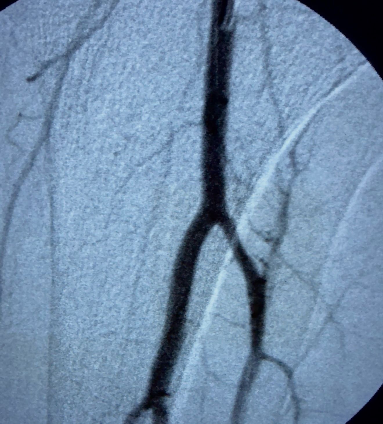
“A patient with acute thrombosis involving the anterior tibial artery and the tibioperoneal trunk was referred to me for management. In our country, we have no access to dedicated mechanical thrombectomy devices or catheter-directed thrombolysis.
Faced with this challenge, I improvised a solution:
- Took a 5 Fr multipurpose catheter and cut its tip with a scalpel at the wider portion.
- Connected it to a 50 cc syringe to generate strong negative suction.
- Performed targeted aspiration of the thrombus within the anterior tibial artery and the tibioperoneal trunk.
Outcome: Complete removal of clots, with final angiography confirming full recanalization and no distal embolization.
This case illustrates how, even in resource-limited settings, with creativity, technical skill, and determination, effective endovascular solutions can be achieved to preserve limb viability.”

Stay updated with Hemostasis Today.
-
Dec 15, 2025, 15:58Khaled Musallam Applauds Hatoon Ezzat’s Leadership and Healthcare Advances in Saudi Arabia
-
Dec 15, 2025, 12:46Deborah Ebert Long on Hemophilia Care: Progress, Possibility, and the Power of Listening
-
Dec 15, 2025, 12:34Nathan Connell on Conversion from Eptacog Alfa to Beta
-
Dec 15, 2025, 12:17Danny Hsu on Interdisciplinary Toolkit for Gynecologic Bleeding on Anticoagulation
-
Dec 15, 2025, 12:08Ted Roh: A Historic Milestone for Indonesia’s Health Innovation
-
Dec 15, 2025, 11:28Wolfgang Miesbach Shares Insights from Davide Matino’s Presentation on Marstacimab at ASH25
-
Dec 15, 2025, 11:12Tushar Pandey Awarded for His Enourmous Contribution to Hematology
-
Dec 15, 2025, 11:07DISTRO: Vidya Rajbhoj on AI and Digital Technology to Improve Stroke Rehabilitation
-
Dec 15, 2025, 11:00Ischemic Stroke, AF and Atherosclerotis: Amira Khater on Sufficiency of Anticoagulant Monotherapy
