Jan Sloves Highlights New Protocol Making Transvaginal Ultrasound a Game-Changer for PeVD
Jan Sloves, President and Consultant at Vascular Imaging Professionals LLC, reposted Francine Freitas Fernandes’s post on LinkedIn:
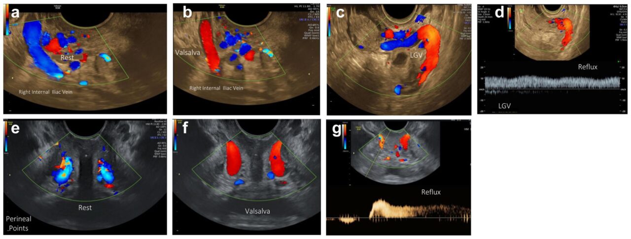
“We should all recognize the importance of precise, patient-centered imaging in the diagnosis and management of Pelvic Venous Disorders (PeVDs) and Chronic Pelvic Pain. The New JVSVL article lays out a Step-by-Step Protocol for Transvaginal Ultrasound (TVUS), offering a reproducible, practical method to assess pelvic veins and venous reflux, key contributors to pain & recurrent varicosities in women.
Title: Transvaginal ultrasound approach for diagnosing pelvic venous disorders
Authors: Francine Freitas Fernandes, Joana Storino, Fanilda Souto Barros, Manuella Barreto Silva, Nathalia Cardoso Oliveira, Isabela Rodrigues Tavares

Read full article here.
What Stands Out in this Work:
- TVUS enables real-time assessment of periuterine, perivaginal, gonadal, and iliac veins, with high sensitivity for reflux and post-thrombotic changes
- The protocol emphasizes provocative maneuvers (Valsalva, cough, pelvic floor contraction) to “bring out” hidden reflux that conventional imaging may miss
- This approach adds diagnostic value beyond standard transabdominal ultrasound, CT, or MR, especially for women with complex anatomy or recurrent lower limb varicosities
- TVUS’s operator-dependent challenges are offset by careful anatomical landmarking and dynamic Doppler techniques described in detail
- Crucially, PeVDs remain underdiagnosed, often presenting as pelvic pain, perineal heaviness, or even recurrent leg varicosities. Integrating TVUS into routine workups can help us close this gap and deliver targeted care
Bottom line: TVUS is a game-changer for vascular and interdisciplinary teams managing pelvic vein pathology in women. I encourage colleagues to review this protocol and consider its practical application in daily practice, particularly for complex venous patients who need more than a standard scan.
Improved imaging means improved outcomes!”
Quoting Francine Freitas Fernandes’s post:
“Excited to share our ultrasound images with the world! Journal of Vascular Surgery Venous and Lymphatic Disorders
TRANSVAGINAL ULTRASOUND is the apple of our eye when it comes to PELVIC VENOUS DISORDERS, an extremely valuable diagnostic tool!
It’s definitely worth incorporating into everyday clinical practice.”
Quoting Journal of Vascular Surgery Venous and Lymphatic Disorders’s post
“Do you treat pelvic venous disorders?! Then check out this article out of Brazil where authors present a step-by-step protocol for transvaginal US for assessing pelvic veins!

Stay updated with Hemostasis Today.
-
Dec 15, 2025, 15:58Khaled Musallam Applauds Hatoon Ezzat’s Leadership and Healthcare Advances in Saudi Arabia
-
Dec 15, 2025, 12:46Deborah Ebert Long on Hemophilia Care: Progress, Possibility, and the Power of Listening
-
Dec 15, 2025, 12:34Nathan Connell on Conversion from Eptacog Alfa to Beta
-
Dec 15, 2025, 12:17Danny Hsu on Interdisciplinary Toolkit for Gynecologic Bleeding on Anticoagulation
-
Dec 15, 2025, 12:08Ted Roh: A Historic Milestone for Indonesia’s Health Innovation
-
Dec 15, 2025, 11:28Wolfgang Miesbach Shares Insights from Davide Matino’s Presentation on Marstacimab at ASH25
-
Dec 15, 2025, 11:12Tushar Pandey Awarded for His Enourmous Contribution to Hematology
-
Dec 15, 2025, 11:07DISTRO: Vidya Rajbhoj on AI and Digital Technology to Improve Stroke Rehabilitation
-
Dec 15, 2025, 11:00Ischemic Stroke, AF and Atherosclerotis: Amira Khater on Sufficiency of Anticoagulant Monotherapy
