Mohammed Almohammadi/LinkedIn
Apr 2, 2026, 04:28
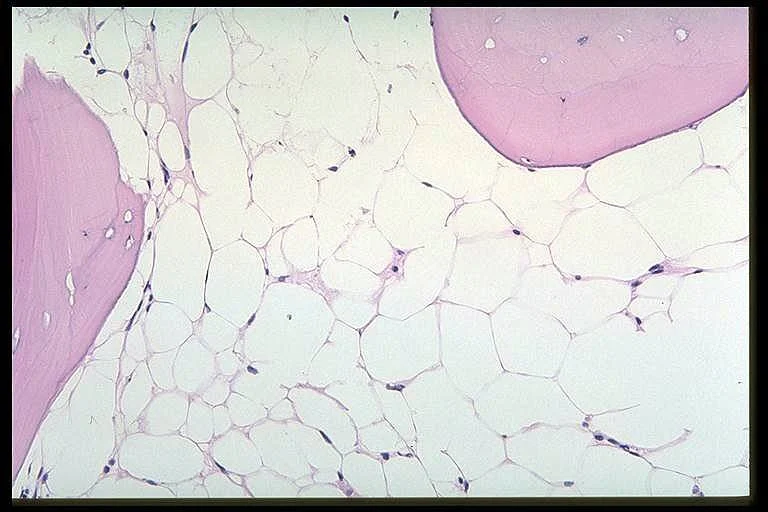
Mohammed Almohammadi: Etiologic Spectrum and Diagnostic Challenges of Hypocellular Marrow Findings
Mohammed Almohammadi, Medical Director of Laboratory Services at Dr. Sulaiman AL Habib Medical Group, shared a post on LinkedIn:
“In Hematopathology, observing an ’empty’ marrow is a straightforward finding.
However, this observation does not tell the whole story.
The underlying etiology is not always Aplastic Anemia, which is primarily idiopathic and autoimmune in nature.
Other potential causes include:
- Inherited marrow failure, which can sometimes be diagnosed in early adulthood with misleadingly minimal syndromic features
- Secondary effects of infection or toxic exposure
- Hypocellular Myelodysplastic Syndromes (MDS)
- Paroxysmal Nocturnal Hemoglobinuria (PNH)
Understanding these possibilities is crucial for accurate diagnosis and treatment.”

Stay updated with Hemostasis Today.
-
May 24, 2026, 17:48Flora Peyvandi: Crucial Role of Placental ADAMTS13 in Perinatal Survival
-
May 24, 2026, 17:13Mahtab Mashayekhi: The Evolving Role of Red Blood Cell Exchange in the Management of SCD
-
May 24, 2026, 17:12Silvina Graña: Helping Families Better Understand Hemophilia and Daily Life With Bleeding Disorders
-
May 24, 2026, 17:11Miikka Vikkula: Key Insights from the ISSVA 2026 World Congress
-
May 24, 2026, 17:10Mathieu Jackson: Proud to Be Present at This Historic Moment for the Global Bleeding Disorders Community
-
May 24, 2026, 17:09Ramina Fazeli: Highlighting the Emerging Role of Neutrophil Extracellular Traps in Ovarian Cancer
-
May 24, 2026, 16:12William Wallace: Normal B12 Levels May Still Cause Brain Damage and Cognitive Decline
-
May 24, 2026, 15:54Marc Carrier: Ottawa Race Weekend Raised Over 7,000 USD for Thrombosis Canada
-
May 24, 2026, 15:44Janak Sadhu: Building a Stroke-Free Mehsana Through Community Awareness and Healthcare Collaboration