Nikola Grubor: In Situ Pulmonary Arterial Thrombosis Mimicking CTEPH in Eisenmenger
Nikola Grubor, Radiology Resident at University Clinical Centre of Serbia, shared a post on LinkedIn:
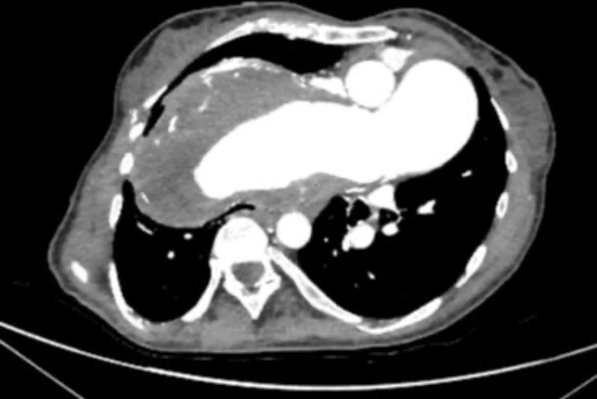
“Jovana Tumanov, Jelena Cavić, and I (with special help from Jelica Vukmirović) have another complex case of in situ pulmonary arterial thrombosis due to longstanding Eisenmenger physiology presenting with hemoptysis, which we have submitted to Radiopaedia.
At first sight, the CT appearances mimic chronic thromboembolic pulmonary hypertension (СТЕРН), which also increases pulmonary vascular resistance, causing progressive right heart strain; recognition of the VSD seals the diagnosis.
A key hematological complication in these patients is the development of an acquired von Willebrand syndrome, characterized by the loss of high-molecular-weight von Willebrand factor multimers due to shear stress.
This loss of HMW multimers contributes to the bleeding diathesis, which may include mucosal bleeding and hemoptysis, as in this patient.”

Stay updated with Hemostasis Today.
-
Apr 16, 2026, 09:41Wolfgang Miesbach: Adeno-Associated Virus Neutralizing Antibodies and Their Clinical Impact on Gene Therapy
-
Apr 16, 2026, 09:33Jeyaraj Pandian: Low-Cost Stroke Rehabilitation Technologies at MENA-VINM 2026
-
Apr 16, 2026, 09:21Aurore Ughetto: The Hemocompatibility Burden of Micro-Axial Flow Pump Support
-
Apr 16, 2026, 09:09Naung Latt Htun: High Clinical Suspicion in Acquired Hemophilia A is Essential
-
Apr 16, 2026, 08:58Chittal Raulji: ASH-ISTH 2026 Guidelines for Anticoagulant Prophylaxis for Pediatric VTE Is Now Live in Blood Advances
-
Apr 16, 2026, 08:47Wolfgang Miesbach: Key Open Questions and Clinical Paradoxes in ITP
-
Apr 16, 2026, 08:19M Rafiqul Islam: Post-Thrombectomy Blood Pressure Management in Acute Ischemic Stroke
-
Apr 16, 2026, 06:58Rob Maloney: From Past to Progress in Hemophilia Care in the Dominican Republic
-
Apr 16, 2026, 06:51Michael Ertl: Patient-Reported Outcomes Reveal Differences in Perceived Stroke Recovery