Surbhi Singh: A Powerful Case Where Multidisciplinary Teamwork Truly Saved a Life
Surbhi Singh, Consultant at Fortis Healthcare, shared on LinkedIn:
“‘Teamwork is where medicine truly saves lives—this case is a powerful reminder.’
Clinical Background
A 60-year-old male, post renal transplant (>10 years), presented with fever and progressive cytopenias. Initial evaluation revealed colonic ulcers with CMV IHC positivity, and antiviral therapy was initiated.

Initial Working Diagnosis and Therapeutic Dilemma
Despite antiviral treatment, cytopenias persisted and were initially attributed to ganciclovir-induced marrow suppression. After gut recovery and documented CMV negativity, antivirals were discontinued; however, blood counts continued to worsen, with the patient developing new-onset low-grade fever and cough, prompting further reassessment.
New Clues: Imaging and Expanding Differentials
In the setting of worsening cytopenias and respiratory symptoms, a CT chest revealed pulmonary nodules, raising the possibility of bacterial, fungal, or tubercular infection in this immunocompromised host.
Vigilant Suspicion and Multidisciplinary Decision-Making
With strong clinical and radiological suspicion, the ID specialist Dr. Neha Rastogi Panda initiated empirical antifungal therapy and emphasized the need for a bone marrow examination alongside bronchoscopy.
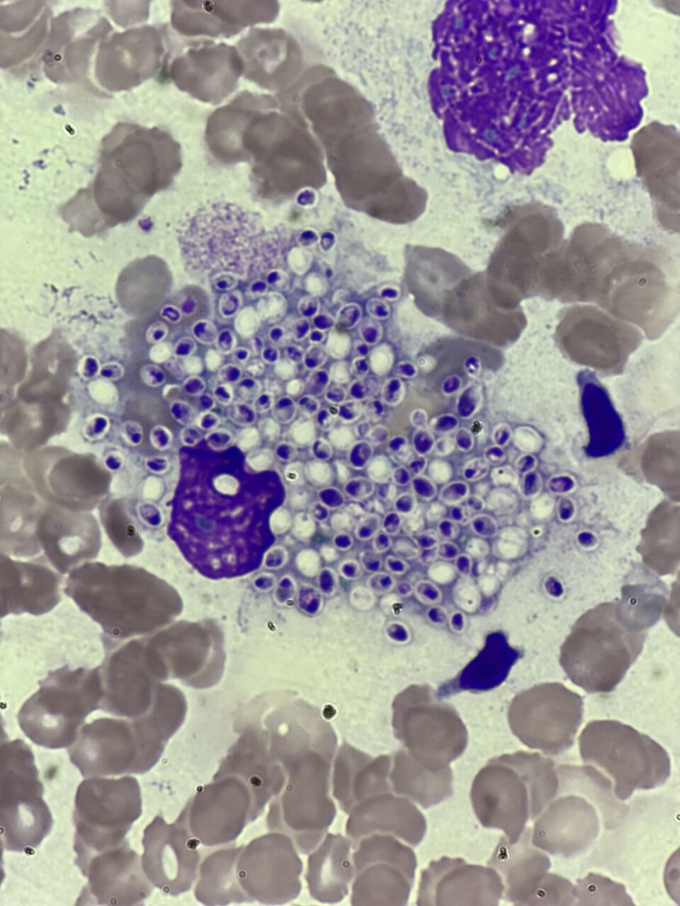
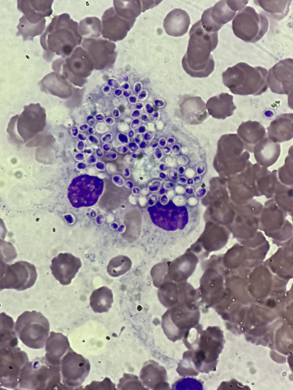
Diagnostic Breakthrough
Bone marrow examination revealed florid infiltration by Histoplasma capsulatum with prominent hemophagocytosis, establishing the diagnosis of disseminated histoplasmosis with a secondary HLH-like picture.
Bronchoalveolar lavage fluid showed high galactomannan levels, further supporting a fungal etiology.
Timely Therapy, Life Saved
With early recognition and prompt initiation of systemic antifungal therapy, the patient showed clinical and hematologic recovery, ultimately saving his life.
Key Take-Home Message
In immunocompromised hosts, persistent or unexplained cytopenias warrant early bone marrow evaluation. Timely pathology input and multidisciplinary collaboration remain pivotal in delivering optimal patient care.

The Bigger Picture
Teamwork is where medicine truly saves lives.
Building teams. Building trust. Building a brighter future in Hematology.”
Explore more posts for deeper insights into hemostasis with Hemostasis Today.
-
Jan 2, 2026, 12:53José Antonio García Erce: The National Transplant Organization Published the 2024 Report of the Global Observatory on Donation and Transplantation
-
Jan 2, 2026, 12:48Reza Shojaei: Stepping into 2026 – Your Daily Commitment Saves Lives
-
Jan 2, 2026, 09:36Shashank K R on The Use of Lumbrokinase from Eudrilus eugeniae
-
Jan 2, 2026, 09:20Rehan Khan Explores Clopidogrel
-
Jan 2, 2026, 09:06Gokhan Ozdemir on Thrombophilia in Young Ischemic Stroke
-
Jan 2, 2026, 08:47Raza Ur Rehman on Fitusiran as a First-in-Class RNAi Therapy in Hemophilia A and B
-
Jan 2, 2026, 03:52Abdul Mannan: When Gender Bias Becomes a Diagnostic Error – Inherited Bleeding Disorders are Still Being Missed
-
Jan 2, 2026, 03:51Samwel Mikaye: Thrombocytopenia in Pregnancy
-
Jan 2, 2026, 03:50Marc Carrier: Clinicians Working With Cancer Patients on DOACs. We Need Your Expertise!
