Carlos Rodríguez Shares a Complex Case of Combined Antegrade–Retrograde Thrombectomy
Carlos Rodríguez, Interventional Radiologyst, shared a post on LinkedIn:
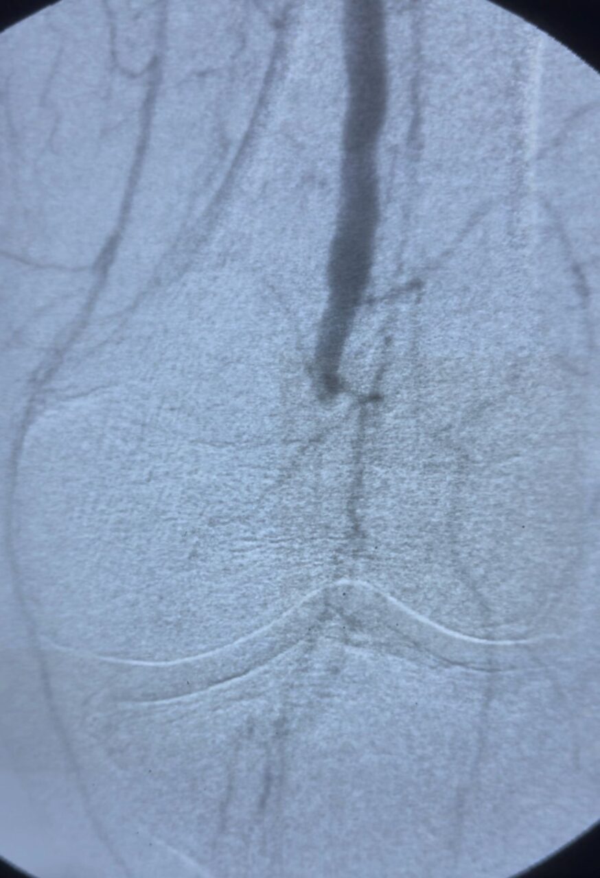
“Patient with subacute massive arterial thrombosis, documented from the distal superficial femoral artery down to the infragenicular level.
A combined antegrade and retrograde approach was performed. Through the pedal access, multiple atheromatous occlusions were identified in the anterior tibial artery. A balloon was inflated and left in place across the anterior tibial artery arch to protect the distal axis from embolization during thromboaspiration.
Using a manually modified 5F multipurpose catheter connected to a 50 cc syringe, negative-pressure aspiration was performed from the femoral to the popliteal artery, effectively removing extensive thrombotic material.
Final outcome: complete recanalization of the femoral, popliteal, and anterior tibial arteries, with restored distal flow.
A minor amputation was later performed with excellent postoperative results.”

Stay updated with Hemostasis Today.
-
Dec 7, 2025, 17:01Abdul Mannan: How Do You Manage a Major Surgery When Blood Transfusion is Impossible?
-
Dec 7, 2025, 16:51Ahmed Bahi on Lina Merghani’s Critique of Early Withdrawal of Aspirin after PCI
-
Dec 7, 2025, 16:30Eloïse Laouenan Presents the Results of HEMOTHEPP-CHU Brest-GETBO Prospective Study
-
Dec 7, 2025, 16:21Jonathan Douxfils: Can We Estimate the VTE Risk of a Pill Before a Million Women Use It?
-
Dec 7, 2025, 16:06Pablo Corral on Why Early LDL-C Reduction Saves Lives
-
Dec 7, 2025, 15:53Paul Batty Congratulates Giulia Simini on Taking The Joint BSH-ASH Abstract Award
-
Dec 7, 2025, 15:35Federica Fogacci Presents The New ILEP Consensus Paper
-
Dec 7, 2025, 15:20Deep Molecular Modeling for Type 2A VWD from Omid Seidizadeh
-
Dec 6, 2025, 18:02ASH25 Day 1: Don’t Miss The Highlights
