Babak Abdolkarimi on Post-Thrombotic Complications in Brain Tumor Patients
Babak Abdolkarimi, Secretary of the Artificial Intelligence Committee at Hakim Children’s Hospital, shared on LinkedIn:
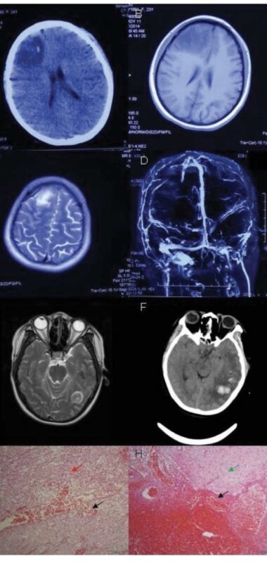
”Post-Thrombotic Complications in Brain Tumor Patients
Patients with brain tumors are at high risk of thrombosis, especially cerebral venous thrombosis (CVT).
Even after successful treatment, post-thrombotic consequences can significantly impact outcomes.
Why it matters
• Tumor-related hypercoagulability
• Surgery, immobility, steroids, chemotherapy
• Compression or invasion of venous sinuses
Post-thrombotic effects
• Persistent headache
• Seizures
• Focal neurological deficits
• Chronic intracranial hypertension
• Venous infarction or hemorrhage
Key learning point
A history of thrombosis in brain tumor patients requires long-term follow-up and careful balance between anticoagulation and bleeding risk.
Clinical takeaway
Early recognition and multidisciplinary management (neurology, neurosurgery, oncology) can reduce morbidity and improve quality of life.”

Stay updated with Hemostasis Today.
-
Jan 4, 2026, 17:02Oğuzhan Işılay on Stabilizing Human Blood Clotting Factor VIII
-
Jan 4, 2026, 16:48Sleep Apnea: Full Breakdown from John Chuback
-
Jan 4, 2026, 16:36Edwin Ofori Atta on Permissive Hypertension For Ischemic Stroke
-
Jan 4, 2026, 16:27Nasrin Haghani on The Milli-Spinners: Breakthrough Technology Transforming Stroke Clot Removal
-
Jan 4, 2026, 16:10Godfrey Gandawa on Neuroplasticity in Stroke Rehabilitation
-
Jan 4, 2026, 14:53What Do Blood and Plasma Donors Think About Biobanking? A New Study Reveals Their Attitudes
-
Jan 4, 2026, 14:51First Results from the International BPDCN Registry: Data from 36 Patients Across 12 Countries
-
Jan 4, 2026, 14:51Shreya Agrawal: Top 5 Practical Hematology Lessons from 2025 – Mild Cytopenias are Rarely “Incidental” and More
-
Jan 4, 2026, 14:46We Analyzed Data From the Start of the COVID-19 Pandemic to 2024 – What Did We find?
