Marvin Garcia Reyes/LinkedIn
Jan 22, 2026, 10:29
Marvin Garcia Reyes Presents a Case of Aorto-Visceral and Aorto-Iliac Thrombosis
Marvin Garcia Reyes, Associate Specialist at Vall d’Hebron Barcelona Hospital Campus, shared on LinkedIn:
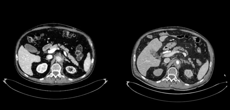
”Acute Visceral and Aorto-Iliac Thrombosis – Aortic Endarterectomy plus Aorto-Bifemoral Bypass:
This patient presented with six hours of lower limb ischaemia and approximately 10–12 hours of complete anuria.
A contrast-enhanced CT angiography was performed immediately.
On the left: the acute complete aorto-visceral and aorto-iliac thrombosis.
On the right: restored flow in the superior mesenteric artery, both renal arteries, and the entire aorto-iliac axis after visceral aortic endarterectomy and aorto-bifemoral bypass.”

Stay updated with Hemostasis Today.
-
Jan 22, 2026, 15:36We Must Roll Up Our Sleeves And Help: José Antonio García Erce on Plasma Donation
-
Jan 22, 2026, 15:25Nita Radhakrishnan on Challenges In Congenital Afibrinogenemia
-
Jan 22, 2026, 15:10Jin Q Gives a Summary of 2025’s Most Impactful Cell and Gene Therapy Milestones
-
Jan 22, 2026, 14:57Nirav Dhanesha on CD14 Acting As A Functional Driver of DVT
-
Jan 22, 2026, 11:41Jamilla Goedegebuur and Colleagues on VTE Management in Case of PAD
-
Jan 22, 2026, 11:28Abdulrahman Katib on API-CAT Trial’s Evaluation of Apixaban Dosing
-
Jan 22, 2026, 11:19Bruno Odisio: Ablation Margins Are Software-Dependent
-
Jan 22, 2026, 10:38Pedro Perez: The VTE Market Is Clearly Entering Its Next Phase
-
Jan 22, 2026, 10:16Mohamed Rawy Gives Clinical Tips for Management of Atrial Fibrillation
