Alexandros Apostolou/LinkedIn
Jan 30, 2026, 11:08
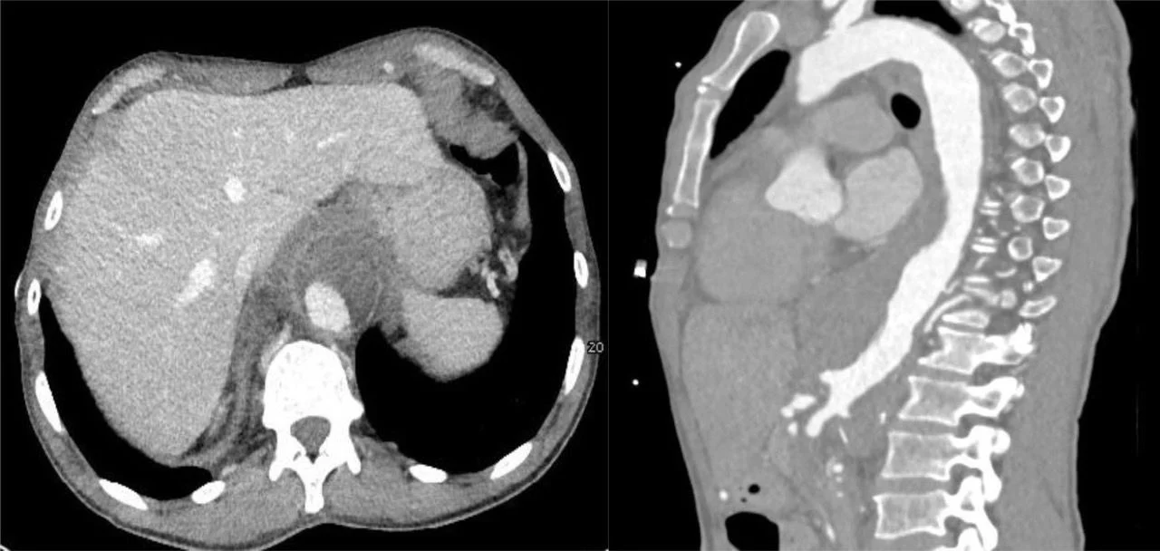
Alexandros Apostolou on Complications Associated with IDU and Thrombophilia
Alexandros Apostolou, Resident, Department of Diagnostic and Interventional Radiology Zürich University Hospital, shared on LinkedIn:
”Coexistence of chronic aortoiliac occlusion and mycotic aortic pathology expands the spectrum of vascular complications associated with IDU and thrombophilia.
Discover our new article here.
Thanks to the entire team for their dedication and support!”
Article: Collateral anastomosis in Leriche syndrome complicated by presumed mycotic thoracoabdominal aneurysm
Authors: Alexandros Apostolou, Maria Kadditi, Ilias G. Koziakas, Abdallah Aburub, Matthias Eberhard

Stay updated on all scientific advances with Hemostasis Today.
-
Jan 30, 2026, 11:38Aaron Rodriguez Calienes on Intracranial Stenting: Rescue vs First-Line Outcomes
-
Jan 30, 2026, 11:25Ahmed Nasreldein on Sex Disparities in Thrombolysis Delay Among Egyptian Stroke Patients
-
Jan 30, 2026, 11:17Yanki Yarman: My PhD Project Has Been Published in Blood!
-
Jan 30, 2026, 10:57Peisong Ma on GRK5 Polymorphism Affecting Platelets
-
Jan 30, 2026, 10:47Ashok Yadav Explains Fetal Thrombotic Vasculopathy: FTV
-
Jan 30, 2026, 10:34Saif ur Rahman Compares K2 and K3 EDTA: Key Differences Explained
-
Jan 30, 2026, 10:22Manpreet Gill on Heparin Resistance: When 14 Years of Experience Finally Gets a Plot Twist
-
Jan 30, 2026, 10:14Mohamed Elsaid on The Role of Hyperlipidemia in Thrombogenesis
-
Jan 30, 2026, 09:57From Risk Visualization to Plaque Change: Babak Alex Vakili on CAC and CCTA Insights
