Luca Joel De Simone Demonstrates Complete SMA Recanalization Using Urokinase and Thromboaspiration with Penumbra
Luca Joel De Simone, Interventional radiologist at A.O.U. San Giovanni Di Dio e Ruggi D’Aragona shared on LinkedIn:
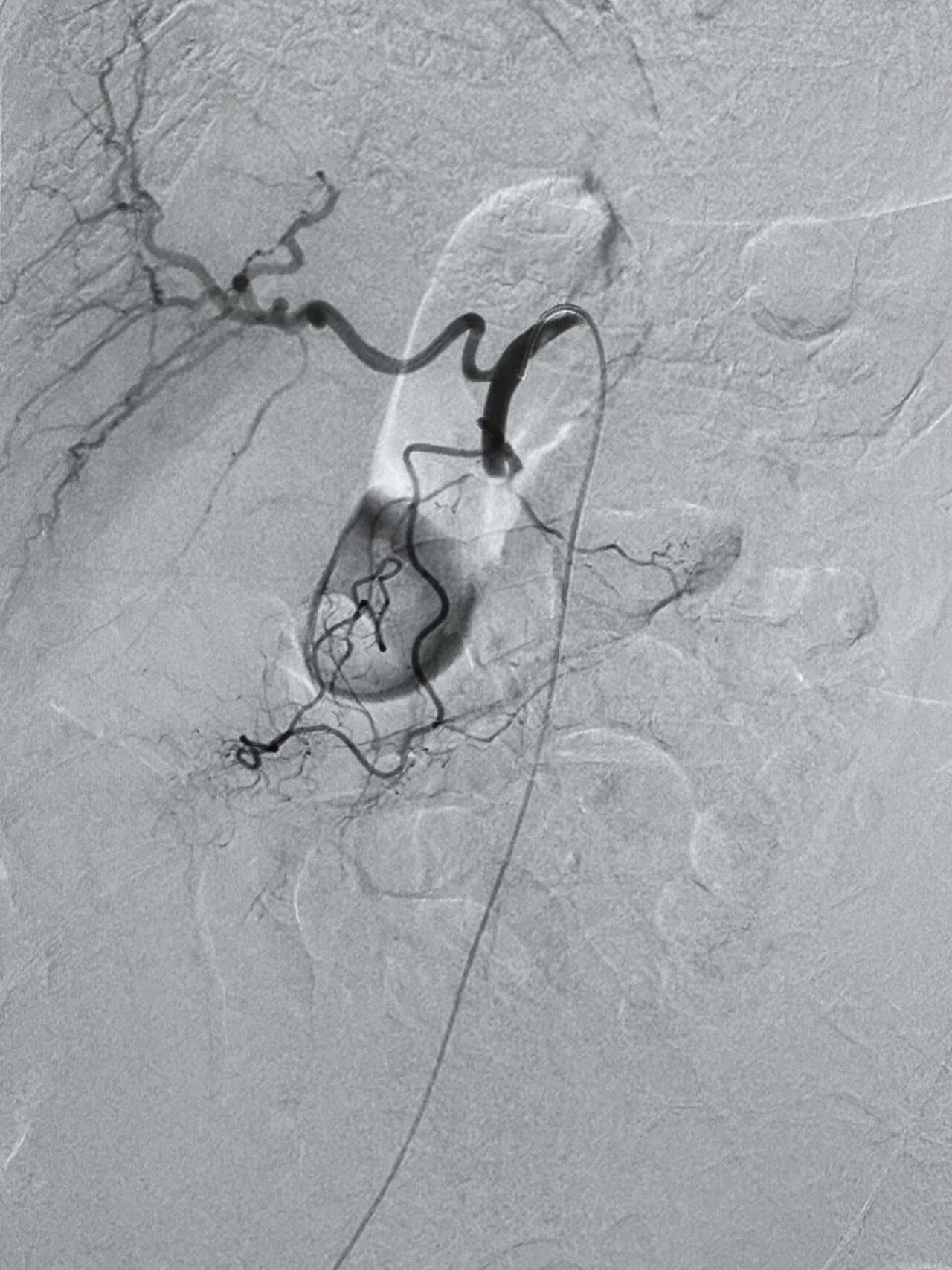
”Revascularization of the superior mesenteric artery (SMA) in a patient with acute mesenteric ischemia.
Selective catheterization of the SMA was performed, and 200.000 Ui bolus of urokinase were infused into the thrombus.
Subsequently, thromboaspiration of the occluded segment was carried out using a CAT-8 catheter (Penumbra).
After achieving recanalization, an additional 200,000 Ui bolus of urokinase was administered.
The final angiographic control demonstrated complete recanalization of the previously occluded artery, with opacification of all colic and jejunal vascular branches.
The patient then continued with an infusion of urokinase at a rate of 120,000 IU per hour.
Pre and post-treatment DSA are shown.
Ospedale San Giovanni Di Dio e Ruggi D’Aragona (Salerno – Italy)
U.O.C. Radiologia vascolare ed interventistica”

Stay updated with Hemostasis Today.
-
Nov 15, 2025, 12:24Thomas Reiser: Can AI Keep Up with Thrombosis Specialists?
-
Nov 15, 2025, 12:13Michael Makris on Immediate Suspension of Use of Plasma Derived FIX Concentrates in Punjab
-
Nov 15, 2025, 09:32Tushar Pandey: Hounoured to Be Part of Hematocon 2025
-
Nov 15, 2025, 09:11Lisa Murphy invites You to Join Her at Stroke Foundation’s Run4Stroke Marathon
-
Nov 15, 2025, 08:56Ahmed Bennis on Potential Use of P2Y12 Inhibitors as Safer Alternative in Monotherapy
-
Nov 15, 2025, 08:39Marika Nöjd: Donating Blood is An Easy Way to Do Good!
-
Nov 15, 2025, 08:19Joseph Caprini Released His UIP 2025 Session on VTE Recurrence Risk
-
Nov 15, 2025, 07:14Paul Bolaji Invites You to ”Thrombolytic Therapy in Acute Stroke in African Patients” Seminar
-
Nov 15, 2025, 07:03Carla Goulart Peron Explores The Role of Technology and Collaboration in Global Stroke Action
