Melaku Abay Muluneh/LinkedIn
Nov 19, 2025, 16:09
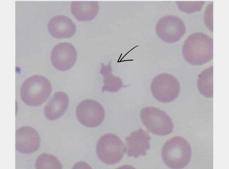
A ”Meow-cyte” from Melaku Abay Muluneh or Why Microscopy Never Gets Old!
Melaku Abay Muluneh, Director and Chief Pathologist at Cerba Lancet Africa, shared on LinkedIn:
”Morphology Moment of the Day
Some peripheral smears came with an unexpected guest.
Here, one RBC fragment showed up with a spot-on cat silhouette, instantly earning the nickname “meow-cyte.”
These small surprises are part of what makes morphology so captivating.
These tiny details remind us why microscopy never gets old.
Colleagues:
What’s the most unusual or memorable shape you’ve spotted on a smear?”

Stay updated with Hemostasis Today.
-
Dec 15, 2025, 15:58Khaled Musallam Applauds Hatoon Ezzat’s Leadership and Healthcare Advances in Saudi Arabia
-
Dec 15, 2025, 12:46Deborah Ebert Long on Hemophilia Care: Progress, Possibility, and the Power of Listening
-
Dec 15, 2025, 12:34Nathan Connell on Conversion from Eptacog Alfa to Beta
-
Dec 15, 2025, 12:17Danny Hsu on Interdisciplinary Toolkit for Gynecologic Bleeding on Anticoagulation
-
Dec 15, 2025, 12:08Ted Roh: A Historic Milestone for Indonesia’s Health Innovation
-
Dec 15, 2025, 11:28Wolfgang Miesbach Shares Insights from Davide Matino’s Presentation on Marstacimab at ASH25
-
Dec 15, 2025, 11:12Tushar Pandey Awarded for His Enourmous Contribution to Hematology
-
Dec 15, 2025, 11:07DISTRO: Vidya Rajbhoj on AI and Digital Technology to Improve Stroke Rehabilitation
-
Dec 15, 2025, 11:00Ischemic Stroke, AF and Atherosclerotis: Amira Khater on Sufficiency of Anticoagulant Monotherapy
